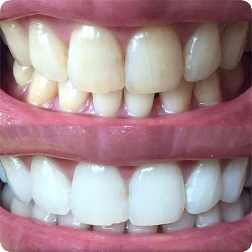
누런치아 보다는 하얗고 깨끗해 보이는 치아는 자신감 있는 미소를 만드는데 있어 아주 중요한 요소이죠. 그치만 평소에 커피, 와인, 흡연 등과 같은 생활 습관들로 인해 치아는 점차 누런 착색이 되죠. 이럴 때 많은 분들이 치아 미백을 고려해 보시게 된답니다. 치과 미백, 자가 미백 등 종류별 효과 차이들과 함께 2025년에는 치아 미백 가격이 어떻게 형성되어 있는지 궁금해 하시는 분들을 위해 준비해 보았고, 힘들게 얻은 하얀 치아를 어떻게 하면 더 오랫동안 유지할 수 있는지에 대한 방법들도 준비해 보았습니다.
1. 치아 미백 가격 요약정리
치아 미백 가격은 전문가(치과) 미백과 자가 미백 중 어떤걸 선택하느냐에 따라서 효과가 크게 달라질 수 있으며, 치아 미백 유지 기간은 보통 6개월에서 2년 정도로 랍니다. 미백 시술을 받고 난 직후 부터 48시간 동안은 색소가 강한 음식은 피하고, 정기적인 미백 리터치를 통해 미백 효과를 조금 더 연장하실 수가 있답니다. 그리고 미백 시술전 충치, 잇몸 질환 등은 미리 치료를 받고 미백 시술을 받아야 하며, 보철물 등은 미백이 되지 않는다는 점도 반드시 숙지하시길 바라겠습니다.
2. 치과 미백 VS 자가 미백 효과차이

치아 미백은 보통 치과에서 받아 볼 수 있는 미백과 치아 미백에 관련된 제품을 통해 하는 셀프 미백으로 나뉘게 된답니다. 물론 효과와 비용, 유지 기간에 대한 차이는 확연히 드러난답니다.치과에서 받는 미백은 고농도의 미백제와 특수 광선을 사용해 단기간에 미백 효과를 얻을 수가 있는 반면에 셀프 미백은 저농도의 미백제가 들어 있는 맞춤 트레이로 집에서 꾸준히 진행하는 방식에서 차이가 있습니다. 아래는 2025년 기준 치과에서 받는 평균 가격과 2가지 방식의 차이를 정리해 보았습니다.
🦷 치과 전문가 미백
| 항목 | 내용 |
|---|---|
| 효과 속도 | 1~3회 시술만으로 즉각적인 효과 |
| 미백제 농도 | 15~35% 과산화수소(H₂O₂) |
| 장점 | 단기간에 강력하고 균일한 미백 효과, 전문가 관리로 안전성 높음 |
| 단점 | 시술 후 시린 증상 가능성, 비용이 다소 높음 |
| 2025년 평균 비용(1회 기준) | 약 10만~40만 원 (병원별 상이) |
🏠 셀프 미백(자가 미백)
| 항목 | 내용 |
|---|---|
| 효과 속도 | 2~4주 이상 꾸준히 사용해야 효과 |
| 미백제 농도 | 3~10% 과산화수소(H₂O₂) |
| 장점 | 비교적 저렴하고 편리함, 집에서도 가능 |
| 단점 | 효과가 더디고 균일하지 않을 수 있음 |
| 2025년 평균 비용(1회 기준) | 약 5만~15만 원 (트레이 제작비 별도) |
💡 추가 정보 — 2025년 국내 치과 평균 시술가
- 서울 강남·서초권 기준
전문가 미백 1회 시술가는 5만~10만 원(이벤트가) 수준,
정가 기준은 약 10만~20만 원,
고급형 복수 시술 패키지는 25만~35만 원대로 형성됨. - 지방(비수도권) 치과는 평균적으로 20~30% 더 저렴.
- 대부분 병원은 1회 원데이 미백 또는 2~3회 패키지형 시술을 운영함.
- 스케일링 및 잇몸 상태 점검이 필요한 경우, 추가 비용(약 2~3만 원) 발생 가능.
- 시술 당일 기본 위생 체크는 스케일링 전후 주의사항을 참고하면 좋아요.
미국치과협회(ADA)는 “치아 미백은 안전한 시술이지만, 미백 효과와 안전성을 위해 치과의사와 상담 후 적절한 농도의 미백제를 사용하는 것이 중요하다”고 강조하고 있답니다.
3. 치아 미백 가격 결정 요인
치아 미백에 들어가는 비용의 경우 미백 방법 뿐만 아니라, 치아의 상태, 사용되는 미백제 종류, 그리고 시술 횟수에 따라서 달라지게 된답니다.
- 치아 상태: 치아에 심한 착색,반점, 테트라사이클린 착색(선천적 착색)이 있는 경우에는 일반 미백 보다도 훨씬 더 많은 횟수로 시술을 받게되며, 상황에 따라서 특수 미백을 적용할 수 있어 비용이 증가할 수 있답니다. 시술 전 치아 민감도는 치아 시림의 원인과 관리법에서 체크하세요.
- 패키지 구성: 치과에서 받는 미백 시술은 1회성으로는 부족함이 있고 보통은 3회 이상 정도 패키지로 묶어 받는 것이 일반적입니다.
- 자가 미백 병행 여부: 치과에서 치아 미백 시술을 받고 나서도 셀프 미백을 병행하는 경우도 있기에 맞춤형 트레이 제작 비용과 미백제 구입 비용이 추가적으로 들 수 있습니다.
4. 미백 유지 기간 늘리는 3가지
비싼돈 주면서 힘들게 얻은 하얀 치아인데 얼마 지나지 않아 금방 착색이 된다면 돈은 돈대로 깨지게 되는 상황이 발생할 수 있습니다. 미백 효과는 개인의 생활 습관에 따라서 짧게는 6개월, 길게는 2년까지도 차이가 날 수 있으니 이점 참고하고 받아보시기 바랍니다.

미백 후 반드시 피해야할 착색 유발 음식
미백 시술을 받은 직후 48시간 이내에는 치아 표면이 미백제 성분으로 인해서 일시적으로 건조해져 착색 물질을 더 잘 흡수할 수 있는 상태가 될 수 있습니다. 이를 화이트 와인 효과라 불리기도 하는데 정말 주의해야할 시기입니다.
- 절대 금지: 커피, 홍차, 레드와인, 콜라, 간장, 카레 등 색소가 강한 음식과 음료들은 절대 드시면 안됩니다.
- 대체 먹기: 물, 우유, 맑은 수프, 흰쌀밥, 닭가슴살 등의 색소가 없는 음식들 위주로 섭취해야 되요.
착색 관리 가이드는 커피·와인으로 인한 치아 착색 예방법에서 자세히 보세요.
치아 시림 증상 대처
미백 시술에 사용되는 과산화수소 성분으로 인해서 시술 이후에 치아가 시린 현상을 겪을 수가 있습니다. 시린 증상은 보통 1~2일정되면 가라앉는데, 혹시라도 증상이 심하다면 다음과 같이 대처해 보시기 바랍니다ㅑ.
- 미백 간격 조절: 미백 횟수 간격을 늘려 치아 신경이 충분히 회복할 시간을 주어야 합니다.
- 시린이 치약 활용: 시린이 전용으로 나오는 치약들이 있는데, 시린 증상등을 완화시켜주는 성분이 있어서 미백 시술을 받는 동안에 이것을 사용해 주시면 도움이 될 수 있답니다.
- 차가운 음식 삼가: 차가운 음료, 차가운 물 등은 시린 증상을 더욱 극대화하니 미지근한 물로 대처해주시면 됩니다.
정기적인 리터치 및 홈케어
미백 효과를 오랫동안 유지하기 위해서는 음식을 가리는 것, 올바른 칫솔질도 있겠지만 꾸준히 받는 정기적인 관리가 필요로 한답니다.
- 리터치: 치과에서 6개월 ~ 1년에 한번 정도는 가볍게 미백 리터치를 받아보시면 효과를 좀더 오래 누릴 수 있죠.
- 홈 케어: 치과에서 제작한 맞춤형 트레이를 이용해 월 1~2회 정도 자가 미백을 꾸준히 해준다면 착색을 어느정도 예방해 줄 수 있습니다.
5. 미백 전 알아야할 주의사항
치아 미백을 받더라도 모든 사람이 거의 동일한 효과를 얻을 수는 없기에 다음 2가지 정도 미백 전에 알아 두어야할 사항들을 보시고 난 뒤에 치료를 결정하시는게 좋습니다.

- 보철물은 미백X: 이미 치아에 놓은 크라운이나 라미네이트, 레진 충전물에는 미백 효과가 전혀 없습니다. 너무 신경이 쓰인다면 보철물을 교체하는 방안을 염두해주셔야 합니다.
- 충치와 잇몸 질환은 선행치료: 미백시술을 받기 전에 충치나 잇몸 질환이 있는 경우에는 미리 치과 치료를 받은 마지막에 미백 시술을 받는 것이 좋습니다. 아무래도 치아와 잇몸상태가 안좋은 상태에서 미백제 사용이 통증을 추가적으로 불러일으키거나 악화될 수도 있기 때문입니다. 사전 점검은 치과 정기검진이 필요한 이유에서 핵심만 먼저 확인하세요.
6. 자주 묻는 질문 (Q&A)
Q1. 치아 미백에 건강보험 적용이 되나요?
치아 미백은 미용 목적이기 때문에 건강보험이 적용되지는 않는 비급여 대상이랍니다. 그래서 비용은 전액 본인이 부담해야 합니다.
Q2. 치아 미백 효과는 얼마나 오래 지속되나요?
본인의 생활 습관과 관리에 딸서 6개월~2년 정도까지 개인차가 있습니다. 커피나 흡연을 자주하시는 분들이라면 그 주기가 일반인분들에 비해 상대적으로 짧아질 수 있습니다.
Q3. 자가 미백만으로 치과 미백과 같은 효과를 볼 수 있나요?
단기간에 극적인 효과를 보기에는 어려워요. 아무래도 자가 미백의 경우엔 저농도 미백제를 사용하기에 효과는 확연히 눈에 띄게 밝아지지는 않기에 치과에서 미백 시술을 ㅂ다은 뒤에 효과 유지를 위해 사용하거나 경미한 착색을 개선할때 보조적으로 사용하시는 것을 추천 합니다.